【做b超可以检查出什么妇科问题】

文章插图
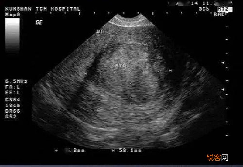
妇科b超可以检查子宫及附件的大小、结构及占位,可以判断是否有子宫及附件肿瘤、卵巢囊肿等实质性的病变,还能够观察盆腔是否有积液以及积液量的多少 。对 女性的子宫肌瘤、子宫内膜息肉、增生以及盆腔炎症都可初步判断,而且在备孕的过程当中 , 通过B超还可以了解女性的卵泡发育、排出情况 。
- 油菜可以和鸡蛋一起做菜吗 怎么用油菜和鸡蛋做菜
- 灵活就业人员失业保险缴纳要什么条件?灵活就业人员可以补交失业保险吗?
- 花小猪可不可以为别人打车
- 农村户口可以办医保卡吗?哪里可办医保卡?
- 油菜可以和豆腐一起吃吗 油菜能和豆腐一起吃吗
- 签完股权转让协议可以更正吗,签了股权转让协议后没变更
- 杏鲍菇可以和黄瓜一起炒吗
- 大家千万不要领失业金是怎么回事?不领失业补助金可以不用交社保吗
- 猫可以吃狗粮不?
- 做的拼音 做的组词
